Ao clicar, você será direcionado(a) para o WhatsApp e será atendido(a) pelo nosso assistente de pré-avaliação
Veja o resultado antes
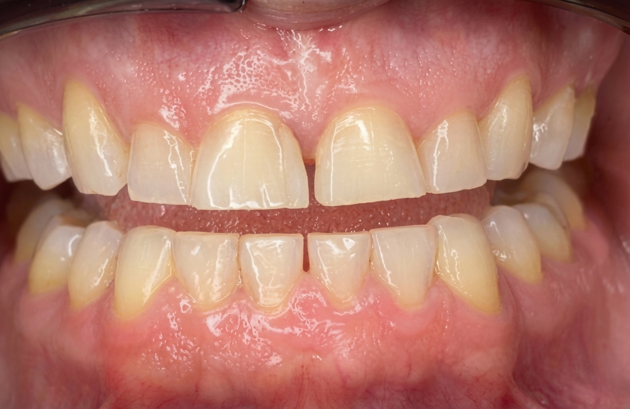
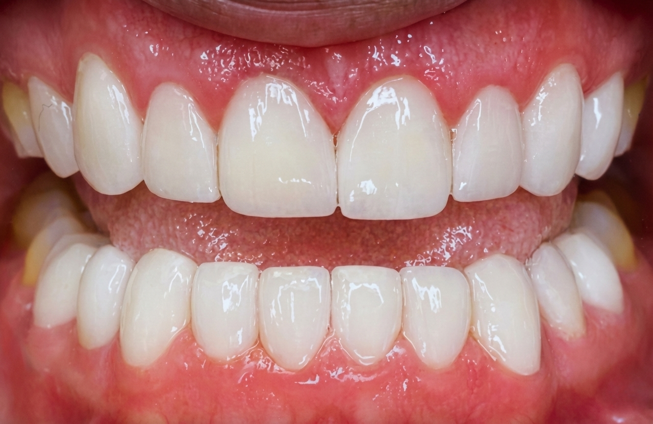
Veja como seu sorriso pode ficar antes de decidir fazer o procedimento
Naturalidade
Tratamento pensado para naturalidade, sem excesso e sem “dente artificial”
Saúde e Aparência
Foco em saúde, bem-estar e autoestima, não só na aparência
Localização
Atendimento humano, calmo e cuidadoso, em consultório em Indaiatuba – SP
Por que esse protocolo não é “qualquer faceta de resina”?
A Dra. Aline sabe que faceta não é só “dente bonito na foto”. Por isso, antes de qualquer resina tocar no seu dente, ela:
Faz uma avaliação completa da sua mordida, hábitos e saúde
Registra seu sorriso com fotos clínicas e estéticas
Realiza um enceramento diagnóstico em modelo
E te mostra uma prévia 3D de como seu sorriso pode ficar
É como um test drive do sorriso: você enxerga o caminho antes de dizer “sim”.
Quer ver se isso faz sentido pro seu caso?
Como funciona o Protocolo Sorriso Sem Filtro®
Três simples passos para alcançar o Sorrisso dos Sonhos Sem Filtro!

Passo 1 – Pré-avaliação pelo WhatsApp
Você clica no botão da página, inicia uma conversa no WhatsApp e responde a algumas perguntas rápidas com nosso assistente. Assim, a equipe já entende melhor seu caso antes mesmo da consulta.

Passo 2 – Avaliação Cuidadosa em Consultório
Na consulta presencial em Indaiatuba, a Dra. Aline te escuta com calma, avalia sua mordida, seus hábitos e sua saúde bucal, alinha expectativas olho no olho, valores e condições de pagamento.

Passo 3 – Planejamento com Prévia Visual + Transformação
Se o Protocolo Sorriso Sem Filtro® for indicado pra você, é feito o planejamento com foto, enceramento e prévia visual, e depois a transformação com facetas de resina dente a dente, com foco em naturalidade.
Esse protocolo é pra você se…
✨Tem vergonha de sorrir em fotos ou em público
✨Quer melhorar o sorriso sem exagero, sem aparência “fake”
✨Valoriza qualidade, segurança e um atendimento humano
✨Pode ser atendido(a) presencialmente em Indaiatuba – SP
E não é pra você se…
❌Está procurando apenas “o mais barato da cidade”
❌Quer um sorriso extremamente artificial
❌Não pretende cuidar da higiene e da manutenção depois
Se você se identificou com o primeiro grupo, o próximo passo é simples:clique no botão e comece a falar agora com a equipe da Dra. Aline pelo WhatsApp

Quem é a dentista por trás do Sorriso Sem Filtro®
A Dra. Aline Magalhães é dentista há quase 25 anos e, ao longo desse tempo, viu de perto como um sorriso pode mudar a forma como uma pessoa se enxerga e se apresenta para o mundo.
Ela tem um jeito muito próprio de atender:
🦷 Experiência em estética e reabilitação Já tratou desde casos simples de melhoria estética até reabilitações mais complexas envolvendo função e mordida.
🤝 Relação de confiança Muitos pacientes chegam tímidos e saem não só com um sorriso novo, mas com a sensação de terem sido realmente cuidados.
🌿 Naturalidade acima de tudo O objetivo não é ter “dentes de mentira”, e sim um sorriso que combine com o seu rosto e com a sua personalidade.
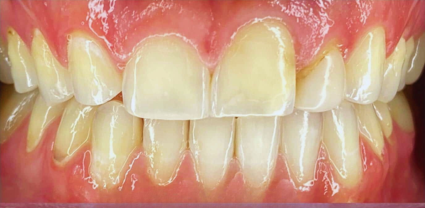
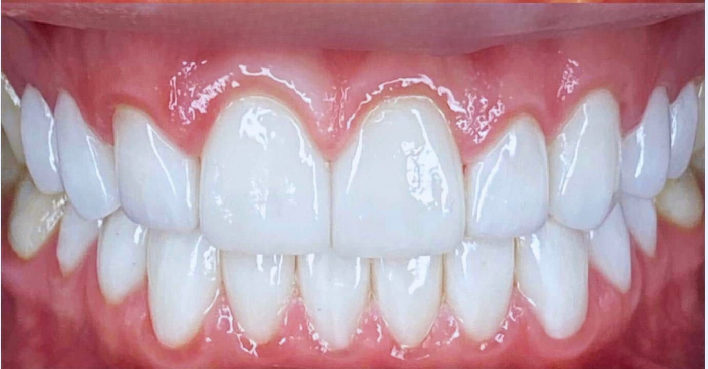
Veja alguns resultados de pacientes
Deslize para o lado para conferir










Não é Milagre, É Método!
ONDE ESTAMOS?

Perguntas Frequentes
O primeiro passo é iniciar a pré-avaliação pelo WhatsApp.
Você clica no botão da página, conversa com nosso assistente, responde algumas perguntas e, se fizer sentido, segue para a consulta presencial em Indaiatuba com a Dra. Aline.
Como o Protocolo é dividido por etapas, de acordo com os resultados do diagnóticos, e pode variar até 100% de um paciente para outro, valores e condições de pagamento são feitos exclusivamente em consulta presencial.
Sim. Esse é um dos grandes diferenciais do Protocolo Sorriso Sem Filtro®.
Você passa por fotos, enceramento diagnóstico e uma prévia visual do sorriso, pra entender a proposta e se sentir seguro(a) antes de qualquer intervenção.
O procedimento é feito com máximo conforto possível.
Quando necessário, é utilizada anestesia local, e a Dra. Aline explica cada etapa com calma. A ideia é que você se sinta tranquilo(a) e amparado(a) durante todo o processo.
O foco do protocolo é preservar ao máximo a estrutura dentária.
Cada caso é avaliado individualmente e, quando faceta não é a melhor opção, a Dra. Aline orienta alternativas. A prioridade é sempre a sua saúde, e não simplesmente “fazer procedimento”.
A durabilidade depende de três fatores: técnica, material e seus hábitos.
Com boa higiene, cuidados no dia a dia e manutenção em consultório, as facetas de resina podem se manter bonitas por muitos anos – e ainda permitem ajustes e reparos de forma conservadora.
Sim. Os atendimentos presenciais do Protocolo Sorriso Sem Filtro® são realizados exclusivamente em Indaiatuba – SP.
Ficou com mais alguma dúvida?
Clique abaixo, fale com a equipe da Dra. Aline pelo WhatsApp e tire todas as suas dúvidas antes de agendar sua avaliação.
O Protocolo Sorriso Sem Filtro é mais do que um procedimento: é a possibilidade de sorrir com confiança, sem filtros no Instagram ou na vida real.
PROTOLOCO SORRISO SEM FILTRO - Todos os direitos reservados.
